Caso Clínico Whiteline: La Transformación Completa de Julie con Coronas de Zirconia

Por: Dr. Eduardo Trujillo
Especialista en Endodoncia y Socio de Whiteline

En Whiteline, cada sonrisa cuenta una historia. La de Julie es un testimonio de cómo la odontología moderna puede ir más allá de la estética para devolver la función, la salud y la autoconfianza de nuestros pacientes.

Julie llegó a nuestra clínica buscando una mejoría radical. Deseaba trabajar la parte estética y también la funcional, porque tenía los dientes muy dañados, lo que afectaba su masticación. Tras una evaluación exhaustiva, presentamos un plan de tratamiento integral para rehabilitar su sonrisa con nuestros Especialistas en Rehabilitación Oral.


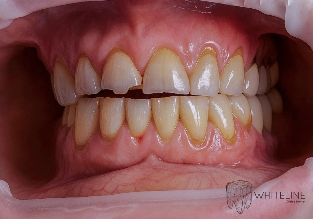
El Diagnóstico y el Plan

Fotografía del estado inicial de la dentadura de Julie.

El caso presentaba varios desafíos:

  • Desgaste severo y pigmentación profunda en los dientes frontales.

  • La necesidad de endodoncias en varias piezas debido a grandes caries o fracturas.

  • La exigencia de un material que fuera estético y extremadamente resistente para soportar la fuerza de la mordida.

La solución fue una rehabilitación completa con coronas libres de metal de zirconia, un material que ofrece la mejor combinación de belleza natural y durabilidad.


Paso a Paso de un Tratamiento Integral

  1. Fase Endodóntica: Primero, realizamos los tratamientos de endodoncia necesarios para garantizar que la base de sus dientes estuviera sana y libre de infección.

  2. Fase Periodontal: Procedimos con alargamientos de corona en algunos dientes. Esto es crucial para asegurar que las futuras coronas tengan un margen de ajuste perfecto y un sellado adecuado, para garantizar el éxito a largo plazo del tratamiento.

  3. Fase de Rehabilitación: Realizamos un mock up, que es una previsualización de cómo el trabajo va a lucir. Esto le permite al paciente tener una idea del resultado final de tratamiento y hacer ajustes en caso de ser necesario y de poderse realizar . Es un paso importante, sobre todo cuando se realizarán varias restauraciones en el paciente. Las coronas de zirconia fueron cementadas (pegadas) con precisión. El resultado fue una sonrisa no solo impecable en color y forma, sino también perfectamente funcional y armónica.

Diseño digital de sonrisa con mockups.


El Resultado: Más que una Sonrisa Nueva

El proceso completo se realizó en un tiempo de 3 meses, acomodándonos a las necesidades de agenda de Julie. El caso de Julie ejemplifica nuestra filosofía: tratar al paciente, no sólo al diente. Logramos:

  • Restaurar la función masticatoria correcta.

  • Crear una estética dental natural y radiante.

  • Devolverle la confianza para sonreír sin reservas.

Fotografía de la dentadura de Julie, posterior al tratamiento.

Julie con el Crew Whiteline.

Recomiendo ampliamente visitar Whiteline en Mérida; me impresionó tanto la calidad de su odontología como el profundo respeto con el que los doctores y el personal tratan a sus pacientes.


¿Está considerando una rehabilitación completa de su sonrisa? Agende una consulta con nuestro equipo en Whiteline. Evaluaremos su caso y le presentaremos un plan personalizado para lograr los resultados que siempre soñó.


Dr. Eduardo Trujillo
Whiteline


Dr. Eduardo Trujillo

Co fundador de Whiteline en 2013, el Dr. Eduardo es un profesional de alta calidad humana que, en conjunto con el Dr. Guillermo, ha aportado su experiencia profesional para posicionar a la clínica como un referente en turismo dental y atención local en Mérida, Yucatán.

Han creado un espacio donde los pacientes—ya sean Whiteliners internacionales o locales—reciben tratamientos personalizados en un ambiente impecable y cálido.

Su filosofía se basa en tres pilares: confianza (mediante diálogo honesto), innovación (con materiales y técnicas de última generación), y bienestar (priorizando la comodidad del paciente en cada paso).

Anterior
Anterior

Tu Viaje Dental a Mérida: Una Guía para Combinar Salud Dental y Turismo en México

Siguiente
Siguiente

Transformación Estética con Carillas de Porcelana: Caso Clínico Whiteline