Caso Clínico Whiteline: La Impresionante Transformación de Brian con 18 Coronas de Zirconia

Por: Dr. Eduardo Trujillo
Especialista en Endodoncia y Socio de Whiteline

En la odontología moderna, la verdadera maestría no solo reside en la técnica, sino en la capacidad de construir relaciones de confianza que permitan transformaciones profundas. El caso de Brian Strange —que comenzó con un cuidado menor y evolucionó hacia una renovación completa— es un testimonio de este enfoque.

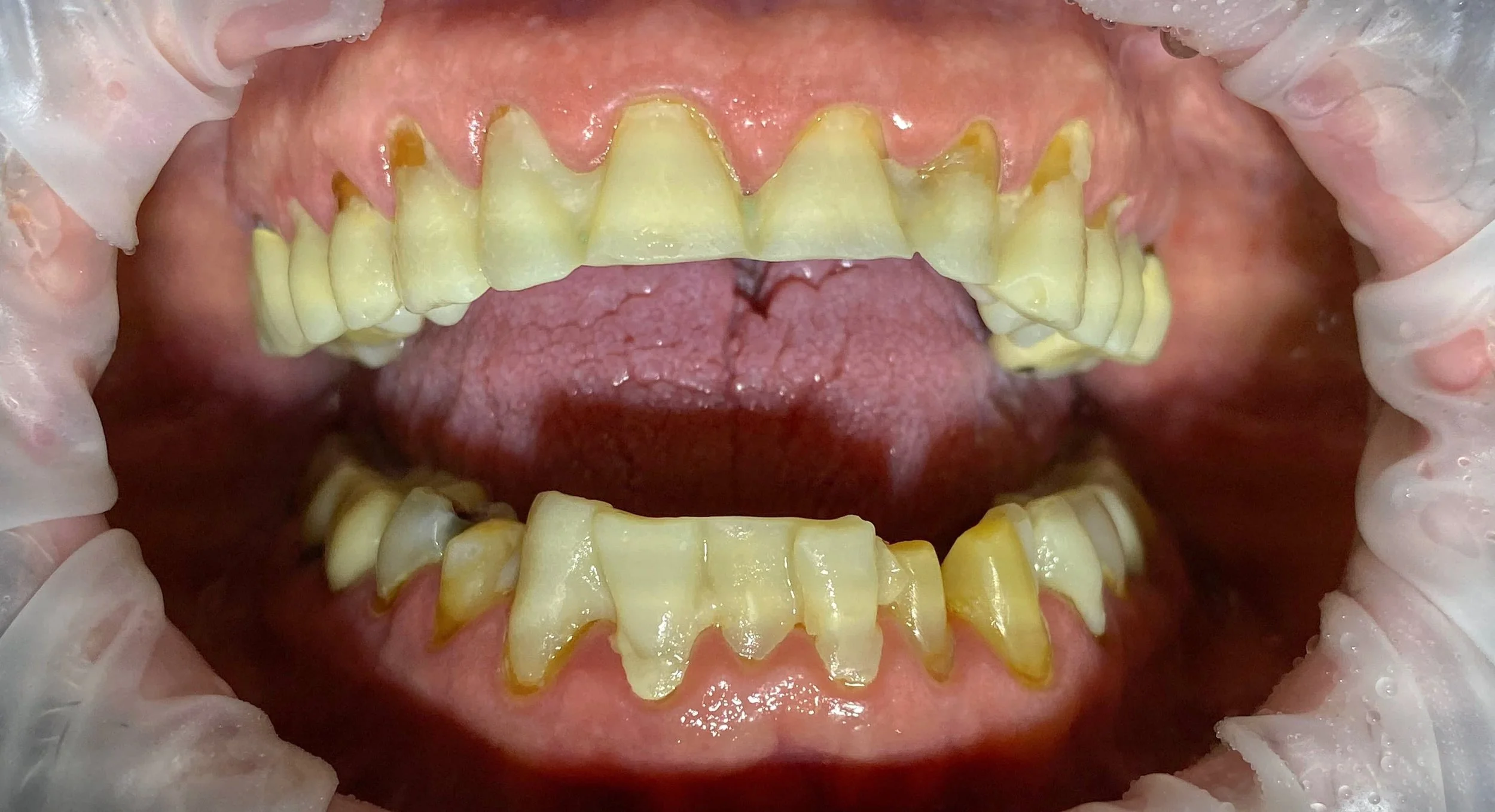
Estado inicial de la dentadura de nuestro paciente Brian.

El Proceso: De la Confianza a la Transformación

Fase 1: La Visualización con Mock-Up

Antes de cualquier intervención, creamos un mock-up físico para que Brian pudiera ver y sentir el diseño final de su sonrisa. Esta herramienta transformó el plan en una realidad tangible, asegurando que sus expectativas estuvieran perfectamente alineadas con nuestra visión clínica desde el inicio.

Fase 2: Los Fundamentos de Salud

Dos dientes requirieron tratamientos de endodoncia para eliminar infecciones profundas, seguidos de build-ups (reconstrucciones de núcleo) para crear una base sólida. Este paso, aunque invisible en el resultado final, fue fundamental para la durabilidad.

Fase 3: La Restauración Integral

Preparamos cuidadosamente 18 dientes para recibir coronas libres de metal de zirconia, seleccionadas por su combinación de resistencia, biocompatibilidad y estética natural. Cada corona fue diseñada digitalmente para lograr una oclusión perfecta y una armonía visual.

Fase 4: Protección a Largo Plazo

Al concluir, entregamos a Brian una guarda oclusal tipo Michigan personalizada, diseñada para proteger su inversión y mantener la estabilidad de su mordida.

Nota: Durante el proceso también se realizó la extracción de un tercer molar fracturado, contribuyendo a su salud bucal general.

En Palabras del Paciente: La Experiencia Whiteline

"Mi nombre es Brian y estoy compartiendo mi experiencia en Whiteline Dental Clinic en Mérida, Yucatán. Fui tratado por los doctores durante el último año y los recomiendo sin reservas... lo que comenzó como un cuidado menor, con el tiempo y desgaste natural, se convirtió en una oportunidad para renovar mis dientes con una apariencia natural mejorada, integridad estructural y una sonrisa hermosa. He completado ese trabajo y estoy muy satisfecho.

La ventaja real es que este nivel de cuidado dental se ofrece a un costo muy razonable comparado con otras opciones. Los doctores han sido excelentes. Su trato y su dominio del inglés generan confianza y reducen la ansiedad. Agradezco a todos en Whiteline por su buen trabajo. Los recomiendo firmemente para el cuidado dental.”

Brian Strange

El Resultado: Más que una Sonrisa Nueva

La transformación lograda —y confirmada por la satisfacción de Brian— incluyó:

  • Salud dental restaurada desde sus fundamentos

  • Función masticatoria completa y sin molestias

  • Estética natural y armoniosa en 18 piezas

  • Protección a largo plazo con guarda personalizada

  • Confianza renovada en su sonrisa y en su mordida

Este caso ejemplifica un principio fundamental en Whiteline: las rehabilitaciones extensas requieren planificación transparente, ejecución meticulosa y una relación de confianza que evoluciona con el tiempo, y que puede ir desde un cuidado rutinario hasta una transformación integral.

¿Buscas una Transformación Similar?

Si deseas mejorar tu sonrisa manteniendo al máximo tus dientes naturales, agenda una consulta con nuestro equipo en Whiteline. Realizamos un diagnóstico completo y te presentamos un plan personalizado.


Dr. Eduardo Trujillo
Whiteline


Dr. Eduardo Trujillo

Co fundador de Whiteline en 2013, el Dr. Eduardo es un profesional de alta calidad humana que, en conjunto con el Dr. Guillermo, ha aportado su experiencia profesional para posicionar a la clínica como un referente en turismo dental y atención local en Mérida, Yucatán.

Han creado un espacio donde los pacientes—ya sean Whiteliners internacionales o locales—reciben tratamientos personalizados en un ambiente impecable y cálido.

Su filosofía se basa en tres pilares: confianza (mediante diálogo honesto), innovación (con materiales y técnicas de última generación), y bienestar (priorizando la comodidad del paciente en cada paso).

Siguiente
Siguiente

Mi Plan Dental 2026: Un Diagnóstico Dinámico para Recuperar mi Salud Dental